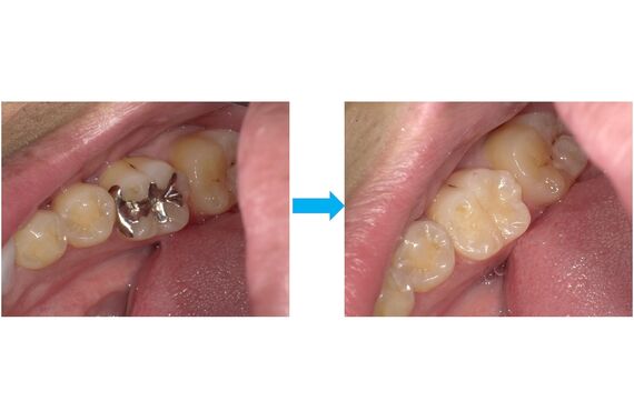
親知らずが斜めに生えていたり、歯茎から頭だけ少し生えている場合には、親知らずとその手前にある第二大臼歯との隙間に汚れがたまり、放置すると第二大臼歯に虫歯をつくることがあります。また、完全に萌出していない智歯は、歯肉が歯冠を部分的に覆ったままとなって、その周りは不潔になりやすく、しばしば歯茎が腫れることがあります。この炎症を「智歯周囲炎」と呼び、重症化すると口が開けにくくなることもあり、食事が取りづらくなるのと入院するケースもある危険な状態です。親知らずが第二大臼歯に食い込むように生えていれば、その歯根を溶かしてしまうことがあり、また埋伏した親知らずから嚢胞(内部に液体が溜まった袋状の病気)や腫瘍が発生することもあります。
親知らずについて
Check!
柳沢歯科医院の専門治療について
柳沢歯科医院の目的は、患者さんの歯を一生残す事です!(歯内療法の必要な歯の撲滅)
Point1
丁寧なコンサルテーション
口腔内の症状が気になる方、歯の治療でお困りの方に安心して治療をお受けいただける場所でありたいという想いから、初回の来院ではいきなり治療は行わず、治療計画を建てるために診査、診断を丁寧に行っておりますので、安心してご相談ください。(強い症状がある場合は緊急の治療を行う事があります)
Point2
歯内療法専門家としての自負
東京歯科大学で歯内療法学科に在籍し、トロント大学でのインターナショナル認定プログラムを卒業し、都内で歯内療法専門の勤務医として従事しました。現在は調布市柳沢歯科医院を開業し、豊富な知識と経験、最先端の機器と確かな技術を掛け合わせ対応いたしますので、ぜひご来院ください。
Q
予約はできますか?
A
はい。お気軽にご連絡ください。
Q
土曜日は診療していますか?
A
はい。9:00~13:00まで対応しております。
Access
ご来院希望の方は最寄り駅からの徒歩ルートが掲載されているアクセス情報をご覧ください
概要
| 医院名 | 柳沢歯科医院 |
|---|---|
| 住所 | 東京都調布市菊野台3丁目36-2 |
| 電話番号 | 042-485-7123 |
| 営業時間 | 月・木・金 9:00~12:00/13:30~18:00 火 9:00~12:00/13:30~20:00 土 9:00~13:00 |
| 定休日 | 水曜日 日曜日 祝日 |
| 最寄り | 京王線 柴崎駅徒歩5分 |
アクセス
豊富な治療実績を持つ歯科医院を調布市周辺でお探しの方は、アクセス情報をご覧の上足をお運びください。公共交通機関をご利用になり、京王線の柴崎駅から徒歩でご来院いただく方法が便利でおすすめです。また専用駐車場のご用意もございますのでお車でもご来院いただけます。
-
虫歯治療で歯って簡単に削っていいの? 虫歯治療といったら歯を削って詰めるというイメージありますよね。 でも、歯って簡単に削って良いのでしょうか? 実は 歯は削ったら二度と戻って…2021.10.22虫歯治療って簡単に削っていいの?虫歯治療について (調布市柳沢歯科医院)
-
銀歯を白くする治療 健康な歯を残す治療 つつじヶ丘駅、柴崎駅からすぐ 柳沢歯科医院 銀歯、詰め物を白くしたいと思った方へ 銀歯、銀の詰め物って気になりますよね。 笑うと自分の口の銀歯が…2021.08.02つつじヶ丘駅|銀歯を白くする治療方法|歯を可能な限り残すMI治療希望の方へ|調布市柳沢歯科医院
-
親知らずについて 奥歯の痛み、腫れの原因と治療法について 精密治療柳沢歯科医院 親知らずについて知っていますか? そもそも親知らずってなに? 親知らずはいつ頃生えてくるの? 親知らずっ…2021.04.15つつじヶ丘駅|親知らずに違和感、痛み、腫れがあるかたへ|治療法について解説|精密治療柳沢歯科医院
-
親知らずでお悩みの方へ 治療方法について解説 柳沢歯科医院 現在強い痛み、腫れがある場合はお早めにご相談を お問い合わせ Scroll 親知らずとは約18歳くらいから24~25歳くらいの時期に、前…2021.03.16柴崎駅|親知らず、奥歯の痛みがある方へ|放置すると危険な状態と安全な状態|調布市柳沢歯科院
-
つつじヶ丘駅 歯の神経を残した方へ 柳沢歯科医院 歯の神経を抜くこととは? 歯の神経ってご存知ですか? 虫歯が大きい時に歯医者さんが「歯の神経を取る必要がありますね」と言われたことはあ…2021.02.22つつじヶ丘駅|神経を残す治療|歯髄保存療法、根管治療専門の柳沢歯科医院|歯の神経を残したい方へ
-
千歳烏山|なるべく歯を削らない虫歯専門治療 調布市柳沢歯科医院 歯を削らない治療とは? まず一番大事なことは 削った歯は二度と再生することなく戻ってくることはありません。 従来の歯科治…2021.02.18千歳烏山駅|削らない歯医者|マイクロスコープMI精密治療|歯をなるべく削らないで長持ちさせる治療を希望の方へ
-
仙川駅|根管治療でお悩みの方へ 歯内療法専門の柳沢歯科医院です 虫歯、根の治療をマイクロスコープを使用して治療を行っています 柳沢歯科医院 現在強い痛み、腫れがある場合はお早めにご相…2021.02.15仙川駅|根管治療でお困りの方へ。歯をどうしても抜きたくない方へ。歯内療法医の柳沢歯科医院
-
歯の神経を残す治療 調布市で根管治療(歯内療法)でお悩みの方へ 柳沢歯科医院 歯の神経について 虫歯で神経をとるってどういうこと? 取って大丈夫なの? 歯医者さんで虫歯が大きいの…2021.02.10仙川駅|神経を抜かない治療、根管治療の専門医院。抜歯したくない!歯をなんとか残したい方へ(柳沢歯科医院)
-
虫歯治療でなるべく歯を残す 精密歯科医治療 柳沢歯科医院 虫歯治療で知っておくべきこと 一度削ってしまった歯は、二度と元には戻りません! 何十年も歯医者さんでは虫歯を大きく削って銀歯の…2021.02.08千歳烏山駅|虫歯治療専門|可能な限り歯を残し、抜歯しないで歯を守るコンセプトの柳沢歯科。本当に歯を残したい方へ
-
神経を抜きたくない方へ マイクロスコープ精密治療 虫歯、根管治療特化型歯科医院 柳沢歯科医院 歯の神経を残す前に まず、詳しい神経を残す治療の前に、 あなたは歯科治療について、疑問を持…2021.02.03千歳烏山駅|神経を抜きたくない方へ|虫歯治療、根管治療専門のマイクロスコープ精密治療(柳沢歯科医院)
RELATED
関連記事
-
2021.04.15つつじヶ丘駅|親知らずに違和感、痛み、腫れがあるかたへ|治療法について解説|精密治療柳沢歯科医院
-
2020.12.17柴崎駅の歯医者で親知らずの痛みについてのご相談なら柳沢歯科医院へ
-
2020.08.20親知らずが原因でできた虫歯をなるべく削らないで治す治療法(調布市柳沢歯科院)
-
2021.01.05調布市柴崎駅で削らない、抜かない虫歯治療専門のマイクロスコープ精密治療医院(柳沢歯科医院)
-
2020.12.25柴崎駅|歯の神経を残す治療を希望する方へ。虫歯治療で神経を抜く前に。柳沢歯科医院
-
2020.06.18銀歯を安価で白くする方法(柴崎駅徒歩5分柳沢歯科医院)
-
2020.06.15銀歯が取れた後の対処法。取れたのには理由があります。正しい診断を(柴崎駅柳沢歯科医院)
-
2020.12.06柴崎駅虫歯治療の専門家が解説。放置しておくと危ない大人の虫歯について。(柳沢歯科医院)
-
2020.12.07柴崎駅で歯を抜かない治療(柳沢歯科医院)歯を抜かない治療を目指してマイクロスコープで精密治療を行っています。
-
2020.12.14柴崎駅でMI治療の歯医者|歯を削らないマイクロスコープを使用したMI治療(柳沢歯科医院)
-
2020.06.10柴崎駅からすぐ、虫歯治療専門のマイクロスコープを使用している柳沢歯科医院です。
-
2020.12.08柴崎駅で削らない歯医者、抜かない歯科治療を徹底しています柳沢歯科医院です。歯を残したい方へ
-
2020.06.19気になる銀歯を白くするにはどんな治療があるの?自分にあった治療を選択!(柴崎駅5分柳沢歯科医院)
-
2020.06.27抜かない小児矯正をできる理由があります。子供の成長を考えたMRC小児矯正(柴崎駅すぐ柳沢歯科医院)
-
2020.12.01調布市柴崎駅小児矯正。早く初めることで後戻りの少ない歯を抜かない予防的矯正。(柳沢歯科医院)